
Gums Receding? Here’s How to Move Forward with Treatment
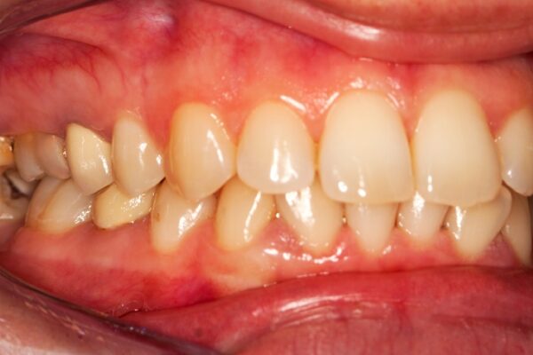
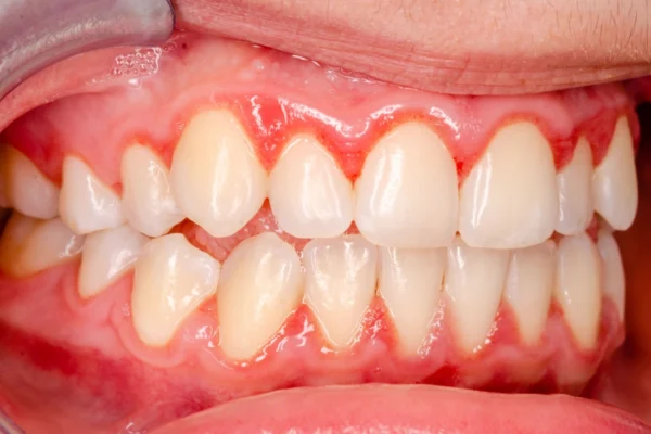
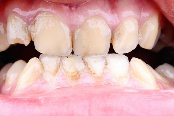
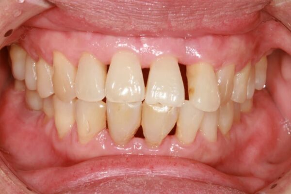
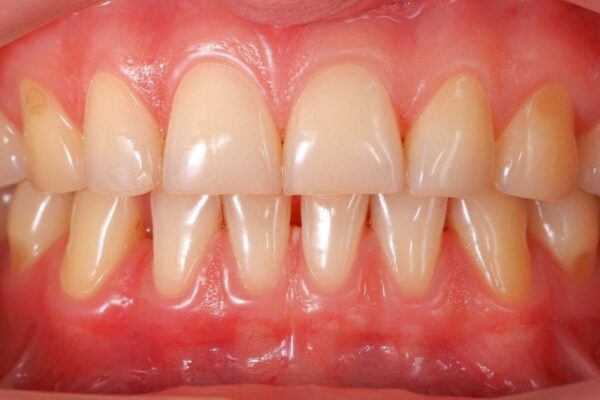
Gum Recession Gum recession occurs when the gum tissue along the line of the teeth recedes, revealing more of the tooth than what is normal. This can happen as a result of numerous factors such as gum disease, genetics, poor dental hygiene, and grinding or clenching your teeth. Signs & Symptoms The most common sign








