
Fight Gum Disease & Regrow Gums Naturally with Diet & Oral Care
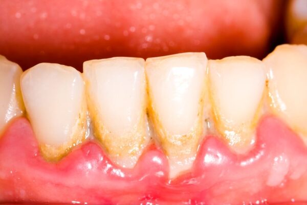
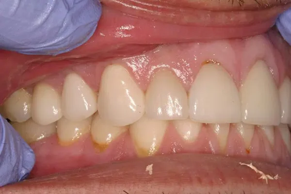
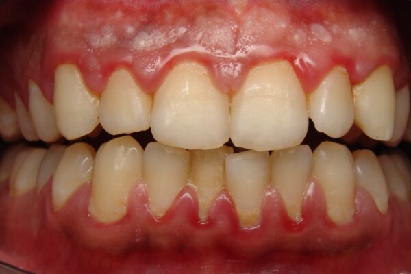
Gum disease is a real threat to your overall oral health. It can cause pain, redness and inflammation of the gum tissue. While mild cases of gum recession can be managed with proper oral hygiene, severe cases may require professional treatment, such as surgery. Fortunately, there are natural ways to encourage healthy, strong gums and








